O Hospital Particular da Madeira dispõe de uma nova tecnologia eficaz, no Atendimento Permanente 24H – Adulto, na Consulta do Dia de Pediatria e na Consulta de Atendimento Médico Não Programado do Madeira Medical Center.
Trata-se de um sistema de inteligência artificial (IA) – o BoneView e o ChestView – que apoia os médicos na observação de radiografias de osso e de tórax, o que permite um diagnóstico mais rápido e preciso em situações urgentes. Outra vantagem para o paciente é que não representa qualquer custo adicional.
A Dra. Catarina Dias, responsável clínica pela implementação e acompanhamento deste projeto, revela mais informação sobre o sistema pioneiro na Região Autónoma da Madeira.
Em que consiste o sistema de Inteligência Artificial no Atendimento Permanente 24H?
Este sistema de inteligência artificial é um software que auxilia os médicos na análise e no diagnóstico de patologias em Raio-X, com maior precisão.
Estas ferramentas foram introduzidas, exclusivamente, para prestar apoio à decisão clínica dos médicos do Serviço de Atendimento Permanente (Adultos) e da Consulta do Dia de Pediatria do Hospital Particular da Madeira, e da Consulta de Atendimento Médico Não Programado do Madeira Medical Center, permitindo uma avaliação mais rápida, estruturada e segura das radiografias realizadas nestes contextos.
Como funciona?
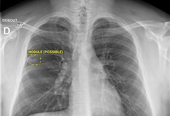
A tecnologia processa automaticamente as imagens, sinalizando zonas com probabilidade de lesões ósseas ou pulmonares. O médico pode, assim, integrar essa informação na sua observação clínica e atuar de forma mais célere e fundamentada.
Quais são os benefícios para o paciente?
As novas ferramentas BoneView e ChestView reforçam a rapidez e a precisão na avaliação de radiografias em contexto de urgência.
O BoneView foca-se na deteção de fraturas ósseas, derrames articulares, luxações e lesões intra-ósseas, analisando radiografias em todos os utentes a partir dos 2 anos de idade.
O ChestView, por sua vez, identifica alterações no tórax, como pneumonias, derrames pleurais, pneumotórax e nódulos, em todos os utentes a partir dos 15 anos de idade.
O relatório de IA é gerado no imediato, o que se traduz numa redução e otimização do tempo de avaliação clínica.
Esta tecnologia vem substituir a avaliação médica?
Não, o objetivo não é substituir a avaliação clínica, mas apoiá-la. A IA permite ao médico identificar de imediato áreas suspeitas, reduzindo o risco de omissão e agilizando o encaminhamento clínico, bem como o tratamento dos pacientes.
Este sistema tecnológico garante a confidencialidade e a segurança face ao Regulamento Geral sobre a Proteção de Dados (RGPD) dos pacientes?
Sim, esta solução cumpre na íntegra o RGPD em vigor, garantindo a confidencialidade, a segurança e a correta utilização dos dados clínicos dos nossos utentes.
O Hospital Particular da Madeira reafirma o compromisso de manter o utente no centro de todas as decisões. A tecnologia é encarada como um instrumento ao serviço dos nossos utentes, uma forma de tornar o diagnóstico mais rápido, os tratamentos mais adequados e o acompanhamento mais próximo.
O objetivo final é garantir que, em cada situação clínica, o médico dispõe da melhor informação e das melhores ferramentas para decidir. Assim, cada utente beneficia de cuidados de saúde mais seguros, personalizados e alinhados com o que de mais avançado se faz na medicina moderna.
Já em funcionamento, no Atendimento Permanente 24H – Adulto, na Consulta do Dia de Pediatria e na Consulta de Atendimento Médico Não Programado do Madeira Medical Center, estas soluções refletem o compromisso do Hospital Particular da Madeira e do Grupo HPA Saúde com a inovação, a segurança clínica e a qualidade na assistência ao paciente.
16 de Dezembro de 2025





