The HPA Health Group, founded in 1996 with the opening of the first Hospital in Alvor, is a national reference in medical care, in the Algarve, Alentejo and Madeira.
Although the Dental Medicine Department of the HPA Health Group does not have the same longevity, its implementation within the organization has shown surprising vitality and growth, the reason why it has deserved its own brand: DENTAL HPA.
More than just a brand DENTAL HPA is a concept representing service and a health care philosophy.
A concept that reflects the experience, innovation and specialization of its professionals, an integrated holistic concept of oral health.
DENTAL HPA is also a philosophy of care based on technical standards and human excellence, reason for its accreditation by Joint Commission International (JCI), the most recognized and prestigious entity in the field of clinical accreditation.
The possibility of integrating DENTAL HPA within a hospital network, permits unique integrated care: permanent availability and support from other medical specialties (maxillofacial surgery, otolaryngology, aesthetic medicine), operating theatres including all sedation and anaesthesia.
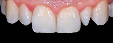
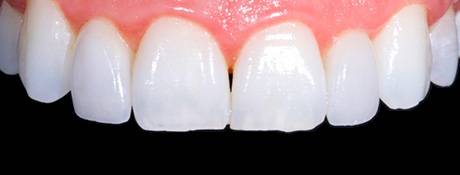
At DENTAL HPA we provide more than just a treatment plan, we deal with YOUR ORAL HEALTH LIFE PLAN; the plan that respects your current needs, but above all the plan that is projected into the future, foreseeing and anticipating your demands and desires, a plan that is exclusively yours, as is your health.